
Quer clarear os dentes mas está cheio de dúvidas? Clareamento dental dói? Estraga os dentes? Faço em casa, ou no consultório? Clareamento a laser ou sem luz? E a dieta? Vão tirar meu cafezinho?
Calma!
Vamos tentar sanar todas as suas dúvidas nesse post, ok?
A vontade de exibir dentes mais brancos não é recente. Na Roma antiga por exemplo, era visto como status social apresentar os dentes mais brancos. E pasmem! Eles utilizavam urina para alcançar tais resultados.
A boa notícia, é que evoluímos muito nesse quesito e hoje temos resultados extremamente estéticos com produtos super seguros.
É fato que um sorriso clarinho e bonito faz toda a diferença, trazendo harmonia e beleza instantâneas à face!
A diferença é tão impactante, que a internet está cheia de imagens de “antes e depois” dos sorrisos dos famosos, mostrando que é possível alcançar uma versão melhor de você mesmo investindo um pouquinho mais no sorriso.
As vantagens do clareamento dental são inúmeras: aumenta a autoestima, estimula o paciente a cuidar mais da saúde e higiene bucal, ilumina o rosto, dá a sensação de jovialidade e deixa o sorriso mais bonito e harmônico.
No entanto, como todo tratamento, mesmo sendo estético, tem seus efeitos indesejáveis caso não seja conduzido corretamente. Por isso é tão importante o acompanhamento de um cirurgião dentista.
Como funciona o Clareamento Dental?

De forma resumida, o gel clareador é composto por uma substância chamada peróxido que pode ser tanto o peróxido de carbamida (liberação mais lenta) como o peróxido de hidrogênio (liberação mais rápida).
Esse gel entra em contato com a superfície do dente e é ativado por um processo químico, de modo a liberar oxigênio. O oxigênio livre quebra as longas moléculas de pigmentos, que deixam o dente escurecido, e as transformam em moléculas menores permitindo que o dente tenha uma reflexão de luz maior, de modo a se mostrar mais claro.
Quais são os tipos de Clareamento Dental?

Há três tipos de clareamento dental realizados pelo cirurgião dentista: o clareamento dental de consultório, o clareamento dental com moldeiras feito em casa pelo paciente, popularmente conhecido como clareamento caseiro e o clareamento interno (feito no interior de dentes tratados endodonticamente com finalidades e indicações bem específicas)
E qual clareamento dental é melhor?

Cada clareamento tem suas vantagens e indicações.
O Clareamento de consultório utiliza altas concentrações de Peróxido, entregando um clareamento rápido, em uma ou duas consultas. É muito procurado por noivas que querem clarear os dentes rapidamente por exemplo. Mas ele também pode ser considerado como um “Start”, um clareamento inicial de estímulo e posteriormente associado com o clareamento caseiro em baixas concentrações.

O clareamento caseiro geralmente utiliza concentrações mais baixas de peróxido, seja ele de hidrogênio ou de carbamida. O tempo para se conseguir um resultado satisfatório é maior (2 a 3 semanas) , mas o resultado é mais duradouro e os efeitos adversos menores.

Clareamento Interno: utilizado geralmente em um único dente escurecido que passou por tratamento endodôntico (falaremos mais sobre o assunto num próximo post).
Protocolo combinado de clareamento dental: é realizado visando unir os benefícios dos dois tipos de clareamento externo, a agilidade do clareamento de consultório e a durabilidade do clareamento caseiro. Primeiramente é realizado o clareamento de consultório com o objetivo de clarear os dentes de forma inicial, e após, combinado com o clareamento caseiro em baixas concentrações para se atingir de forma segura e duradoura o resultado máximo!
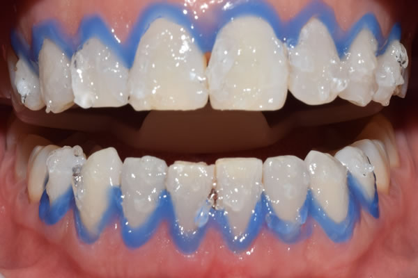
Como são as moldeiras para clareamento caseiro?

As moldeiras para clareamento caseiro são confortáveis e quase invisíveis, permitindo fazer o clareamento por poucas horas também durante o dia, sem limitar a rotina social ou de trabalho.
As moldeiras são individualizadas para a arcada dental de cada paciente, cuja finalidade é concentrar o gel clareador somente nos dentes, evitando que escorra para a gengiva e queime a região. Outra função importante, é realmente manter o gel em contato com a superfície dental para melhor efetividade do agente clareador.
Dieta X Clareamento Dental

Foi-se o tempo em que havia restrições alimentares para se fazer clareamento dental.
Pode tomar seu cafezinho sem culpa!
E vinho, pode? Pode! Pesquisas recentes mostram que a dieta não afeta em nada o tratamento.
A única restrição é aguardar de 3 a 4 horas pós tratamento para a ingestão desses alimentos e bebidas. Ok?
Produtos alternativos para Clareamento Dental

Há inúmeras receitas caseiras de clareamento dental na internet, mas todas se baseiam em um princípio: abrasão.
São produtos extremamente abrasivos que desgastam o esmalte dental e com o tempo causam efeito rebote. Mas como isso é possível?
Muito simples, é o esmalte, ou melhor a espessura dele que torna os dentes naturalmente mais brancos.
Observe uma criança, seus dentes são super branquinhos em comparação a um idoso. Com o passar do tempo, perdemos naturalmente espessura do esmalte, deixando nossos dentes mais amarelados. Isso acontece porque a dentina que fica logo atrás do esmalte, é amarelada, ou seja, mais saturada que o esmalte. Uma vez que se perde o esmalte, esse processo é irreversível, o organismo não consegue reproduzi-lo novamente. Cuidado!
Substâncias ácidas em conjunto com substâncias abrasivas aceleram o processo de envelhecimento dental, diminuindo a espessura do esmalte permanentemente.
Procedimentos anteriores ao Clareamento Dental

É importante realizar uma limpeza dental pré-clareamento.
Em áreas de difícil acesso para escovação, pode haver acúmulo de cálculo dental (o popular tártaro) que nada mais é do que bactérias acumuladas em biofilmes calcificados. Isso torna a superfície dental amarelada, mas essa cor é proveniente do biofilme bacteriano e não do dente.
O gel clareador não tem nenhuma atuação nesse tipo de biofilme, que só é retirado mecanicamente com ultrassom ou curetas periodontais na limpeza dental realizada em consultório.
Posso clarear os dentes durante a gravidez e lactação?

Realizar clareamento dental em grávidas e lactantes está contraindicado!
Não há estudos suficientes na literatura que comprovem não haver riscos ao embrião/feto na gestação e ao bebê na lactância. Assim, o melhor é curtir essa fase tão especial e depois fazer seu clareamento com total segurança. Ok?
Mas é fundamental ter um acompanhamento de um cirurgião dentista da sua confiança nessa fase. As mudanças hormonais alteram a saúde bucal das gestantes, ocorrendo frequentemente sangramentos gengivais e alterações no periodonto.
Sensibilidade dental pós clareamento

A sensibilidade pós-clareamento dental é o terror dos pacientes e da maioria dos dentistas.
Ela pode ocorrer por inúmeros motivos: rachaduras nos dentes (síndrome do dente gretado – vamos falar somente sobre isso em outro post), por altas concentrações de peróxido, retrações gengivais, tempo demasiado com o gel na boca…
O problema ocorre por uma reação inflamatória pulpar (polpa é a parte “viva do dente”com irrigação sanguínea e inervação). O problema geralmente é transitório e reversível.
Nosso objetivo é evitar ao máximo a sensibilidade pós ou durante o tratamento, com um protocolo efetivo e seguro. Mas caso ocorra sensibilidade, o profissional precisa estar apto a resolver e ajudar o paciente.
Idade mínima para clareamento dental

Não há uma idade mínima e máxima estipuladas em literatura, mas precisamos ter bom senso. Não vamos fazer clareamento dental em uma criança por exemplo, nem há necessidade. O importante, é a avaliação da maturidade do tecido dental.
No entanto, existem algumas situações na adolescência em que os dentes são naturalmente muito escuros, causando um desconforto e baixa autoestima ao paciente. A adolescência é uma fase delicada, e é nessa fase que a aparência começa a importar e o senso de autocrítica aumenta. Nesses casos, podemos utilizar géis com baixas concentrações, com consultas de acompanhamento mais frequentes.
A polêmica do clareamento a laser

Quando se começou a se estudar e a realizar clareamentos lá nos anos 60, acreditava-se que a luz e o calor eram importantes catalizadores. Essas fontes luminosas foram se modificando ao longo do tempo, passando para os LEDs e lasers nos dias atuais.
Mas o fato é que os géis clareadores não necessitam de luz para iniciar o processo de clareamento. Muitos acreditam que a luz age como catalizador da reação, mas não é verdade!
O que realmente ocorre, é uma aceleração na reação, sem nenhum ganho de qualidade de clareamento. Ao contrario, esses LEDs liberam energia calorífica (calor) podendo causar sérios danos ao tecido pulpar (polpa) e a tão temida sensibilidade pós-clareamento.
Já o uso do laser propriamente dito realmente tem a capacidade de reduzir essa sensibilidade dentinária durante e depois do procedimento de clareamento dental.
O quanto posso clarear meus dentes?

No meio odontológico comparamos o clareamento ao bronzeamento. O resultado depende de indivíduo para indivíduo .
Alguns pacientes conseguem um clareamento satisfatório já na primeira sessão, outros demoram mais tempo para conseguir os resultados. Uns conseguem “caminhar” mais na escala de cor, atingindo dentes mais brancos, outros, conseguem clarear bastante, mas não tanto quanto um amigo que fez exatamente o mesmo procedimento.
Portanto, o efeito final vai depender de caso para caso, do protocolo utilizado e da disciplina do paciente. Mas bons resultados são possíveis para todos!
Quanto dura o Clareamento Dental?

Novamente, depende de paciente para paciente e do protocolo utilizado. Mas a literatura prevê, aproximadamente, dois a três anos.
Limitações e contraindicações do Clareamento Dental

- É importante que o paciente saiba que os géis clareadores não clareiam próteses, porcelanas, resinas acrílicas, resinas compostas ou qualquer outro material restaurador.
- Não realizar em pacientes grávidas ou lactantes.
- Não realizar o procedimento em crianças.
- Dentes com alterações cromáticas pós trauma, tratamentos endodônticos podem requisitar clareamento interno.
- Pacientes com síndrome do dente rachado (gretado) e retrações gengivais requerem um protocolo especial.
Ainda tem dúvidas?

Ficou alguma dúvida?
Entre em contato com nossa equipe e agende sua consulta! Estamos sempre à disposição!
