O clareamento dental aumenta a autoestima, estimula o paciente a cuidar mais da saúde e higiene bucal, ilumina o rosto, dá a sensação de jovialidade e deixa o sorriso mais bonito e harmônico.
É fato que um sorriso com dentes claros e bonitos faz toda a diferença, trazendo harmonia e beleza instantâneas à face!
O clareamento dental é feito através da ação do gel clareador, composto por uma substância chamada peróxido que pode ser tanto o peróxido de carbamida (liberação mais lenta) como o peróxido de hidrogênio (liberação mais rápida). Esse gel entra em contato com a superfície do dente e é ativado por um processo químico, liberando oxigênio. O oxigênio livre quebra as longas moléculas de pigmentos, que deixam o dente escurecido, e as transformam em moléculas menores permitindo que o dente tenha uma reflexão de luz maior, de modo a se mostrar mais claro.
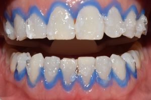
Clareamento Dental de Consultório

O Clareamento de consultório utiliza altas concentrações de Peróxido, entregando um clareamento rápido, em uma ou duas consultas. É muito procurado por pessoas que querem clarear os dentes rapidamente por exemplo. Mas ele também pode ser considerado como um “Start”, um clareamento inicial de estímulo e posteriormente associado com o clareamento caseiro em baixas concentrações.
Clareamento Dental Caseiro

O clareamento caseiro geralmente utiliza concentrações mais baixas de peróxido, seja ele de hidrogênio ou de carbamida. O tempo para se conseguir um resultado satisfatório é maior (2 a 3 semanas) , mas o resultado é mais duradouro e os efeitos adversos menores.